
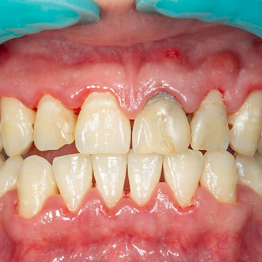
Identificou algum desses sintomas?
Saúde gengival é saúde bucal e também sistêmica.
-
Gengivite: inflamação inicial da gengiva, reversível com tratamento precoce.
-
Periodontite: estágio avançado que compromete o osso e pode causar mobilidade ou perda dentária.
-
Causas: má higiene, predisposição genética, tabagismo, alterações hormonais e doenças sistêmicas.
Tratamento aqui inclui:
-
Avaliação clínica e exame periodontal detalhado
-
Raspagem e alisamento radicular com tecnologia moderna
-
Cirurgias periodontais (quando necessário)
-
Orientação personalizada de higiene bucal
-
Acompanhamento periódico com plano preventivo
%2014_55_edited.jpg)
Dra. Leticia Hashizume
​​CROSP: 124.277
-
Formada em odontologia pela USP
-
Especialista em Implante pela USP
-
Habilitada em Lasers de Baixa e Alta Potência pela USP
-
Excelência em estética pela USP

Perguntas Frequentes sobre Periodontia (FAQ)
Gengiva sangrando é normal?
Não. Sangramento gengival é um sinal de inflamação, geralmente causado por gengivite ou acúmulo de tártaro. Precisa de avaliação profissional.
O tratamento periodontal dói?
Não. Os procedimentos são realizados com anestesia local e, se necessário, com sedação para pacientes mais ansiosos.
Periodontite tem cura?
A periodontite não tem cura definitiva, mas pode ser controlada com tratamento adequado, prevenindo a progressão e evitando perdas dentárias.
Doenças gengivais podem afetar o corpo?
Sim. A periodontite está associada a problemas cardíacos, diabetes descontrolado e até complicações na gravidez. Por isso, a prevenção é fundamental.
Como sei se minha gengiva está retraída?
Se seus dentes parecem estar “maiores” ou mais expostos, pode ser retração gengival. O diagnóstico é clínico e deve ser feito por um dentista.

Quando o problema não está nos dentes, mas na base que os sustenta.
Muitos pacientes nos procuram acreditando que têm apenas sensibilidade ou acúmulo de tártaro. Mas, na verdade, já estão convivendo com um quadro de gengivite ou periodontite.
A boa notícia? Com o tratamento certo, é possível recuperar a saúde da gengiva e evitar consequências mais sérias como a perda dentária.
Por aqui, a abordagem é completa, humana e baseada em evidência. Atuamos com prevenção, controle e reabilitação periodontal, sempre com foco no bem-estar do paciente.
.png)








